
ACRC是美国加州注册合法公司,纽约卫生部医疗执照号GSP220901,所从事所有商业活动均遵从美国联邦及加州,并遵从美国FDA,ASRM监管条例,及纽约卫生部管理规定。该内容属ACRC原创专属所有,任何个人,法人,商家,媒体未经授权,不得转载或用于其他商业目的。


Love Makes A Family




随着夏日的热浪逐渐袭来,同志骄傲月(Pride Month)也再次到来!每年的6月,全球各地都会庆祝这个充满爱、平等和自由的同志月。我们ACRC即将再次参加一系列充满欢乐的游行和展览活动。各位准爸妈们,你们准备好了吗?随着越来越多的国家和地区认可同性婚姻和单身生育的权益,多元化家庭已经逐渐获得了广泛的社会接受。
同性育儿依然是一个广受关注的话题。面对同志家庭或单亲家庭的教育方式,许多人怀有疑问和好奇。父亲节就要到了,我们将以一本儿童故事书的讲述作为起点,给大家讲一个3岁孩子眼中的有爱家庭。
爱是做一个特别的大蛋糕!
爱是发现一个巨大的水坑!
爱是给予援助之手!
爱是周末的时候一起玩耍!
爱是洗一整天的澡!
爱是睡觉前的亲亲!
......................

爱从来不是家庭的组合形式,在孩子眼中幸福都在生活中的小小细节里。像故事的最后所说的,”无论你是单亲家庭、两位妈妈、两位爸爸、传统的爸爸妈妈组合,或是其他出色的照顾者,让每一个家成为幸福家庭的,只有一件事情——那就是爱。“
亲子间的相处品质
才是真正塑造健康家庭的关键


社会常以二元对立的视角审视事物,在教育观念上也往往坚持认为,只有父母组成的传统双亲家庭才是“标准”。即便在传统的夫妻关系中,这样的观念也可能导致道德的束缚,误认为单亲家庭或隔代教养会阻碍孩子的成长和教育。然而,不同的家庭结构绝不代表异类。关键并非家庭成员的构成,而是家庭成员间的互动品质和教育资源的合理分配,这些才是塑造孩子成长的决定性因素。
在同性家庭中,与孩子进行开放沟通至关重要,尤其是关于家庭结构的多样性。从小就向孩子解释不同的家庭形态,使用适合其年龄的语言和资源,如儿童书籍或动画,帮助他们理解和接受自己家庭的特殊性。此外,与孩子的学校保持良好的沟通,确保教育环境对家庭多样性开放和支持,参与家长会和学校活动,确保孩子在学校也感受到支持和安全。
始终确保家是一个情感上的安全港,孩子可以自由表达自己的情感和疑虑,知道无论遇到什么困难,家人都会提供支持和理解。这样的环境将帮助孩子建立健康的自我认同和面对挑战的韧性。

拥抱多元文化是现代社会的关键议题,它不仅关乎种族、性别和性取向的多样性,也包括文化、宗教、观点和生活方式的广泛多样性。在这样的背景下,同性家庭经常面临来自社会某些角落的误解和非议。这些负面言论通常源于对同性家庭的不充分认识和社会的狭隘,因为这样的家庭形式尚未被普遍接受或视为常态。
作为家庭多元化的一种表现,同性家庭挑战了传统的异性恋本位家庭模式,提倡任何人都有权建立家庭和抚养子女,这一权利不应受限于个人的性别或性取向。事实上许多表面看似和谐的传统家庭背后也可能存在家庭暴力、出轨、性别歧视或教育失衡等问题,这些都与根深蒂固的性别刻板印象和异性恋中心的社会范式有关。

根据帕德森等心理学家对1980年以来文献的综述,大多数研究显示,在个人心理发展、性别发展和社会关系方面,同性家庭与异性家庭养育的孩子之间并无显着差异。研究表明,影响孩子成长的主要因素是家庭的氛围,而不是家庭的结构。
常见的误解之一是认为在同性家庭中长大的孩子会混淆性别概念,这实际上是基于性别刻板印象的错误观点,如传统上认为父亲应严肃理性、担任家庭经济支柱,而母亲则主要负责家务和育儿。同性家庭打破了这种性别角色的固定模式,家庭中的职责分配更加平等和灵活。两位父亲可能都会参与换尿布、做饭和夜间照顾孩子,两位母亲也可能都会承担修理和经济责任。
至于同性家庭中是否更可能有同性恋后代的问题,目前没有科学证据支持这一点。同性家庭的孩子可能对不同的性取向表现出更高的接受度,他们在表达自己的性别取向时可能会更加开放和直接,相比之下,异性家庭中的孩子如果是LGBTQ+可能会感到需要隐藏自己的真实身份。
组建家庭和养育子女的权利不应受限于个人的身份或社会角色。家庭的完整性和孩子的健康成长受到多种因素的影响,远超过传统家庭结构的界定。





来自台湾的准爸爸是LGBTQ社群的一员,也是一位充满热情的设计师和绘本作者。作为家中唯一的独子,只有一个姐姐,他的父母和其他传统的华人父母一样,渴望能拥有孙子孙女。尽管他的父母完全接受并尊重他的生活选择,但他们每次在楼下散步时看到邻居家的孩子玩耍,心中总是充满了羡慕。
准爷爷特别擅长手工艺,经常为小孩制作剪纸和玩具,这些细节让准爸爸下定决心也要成为一位出色的父亲,即使没有找到合适的伴侣,他也有信心单独抚养孩子。他希望能将自己对文化和艺术设计的热爱传递给下一代,同时实现父母的愿望。
因为准爸爸的诊所非常的严格,在经历了一系列严格的筛选和最终的移植后,代母爱妈C成功怀孕,现在孕期已经到了十八周。准爸爸虽然远在千里之外,但他经常邮寄鲜花和小礼物来表达感激之情,整个家庭都充满了对即将到来大孙子都非常的期待和喜悦!

宝宝诞生!



HAPPY FATHER'S DAY
一起接好孕!祝贺准父母迎来他们的第一个宝宝!体重7磅12盎司,男宝宝一枚,生产过程非常顺利。宝宝健康又可爱,准父母陪伴爱妈E见证了这一美好时刻。准妈妈在激动中将宝宝抱入怀中,感动的瞬间!

爱妈E在孕期就像朋友一样与准父母保持着紧密联系,经常收到他们的祝福和礼物。宝宝出生后,爱妈计划提供初乳给到宝宝喝;若有些爱妈无法提供,医院已准备好足够的新生儿用品,如配方奶、奶嘴和尿布,因此准父母无需额外囤积。








爱妈B的双胎宝宝健康成长中!宝宝们目前已有十周零六天大。我们准父母这次在捐卵女生的帮助下,成功培育出高品质的胚胎,两个宝宝均顺利着床。爱妈B将转至当地妇科诊所继续监控宝宝们的健康发展。









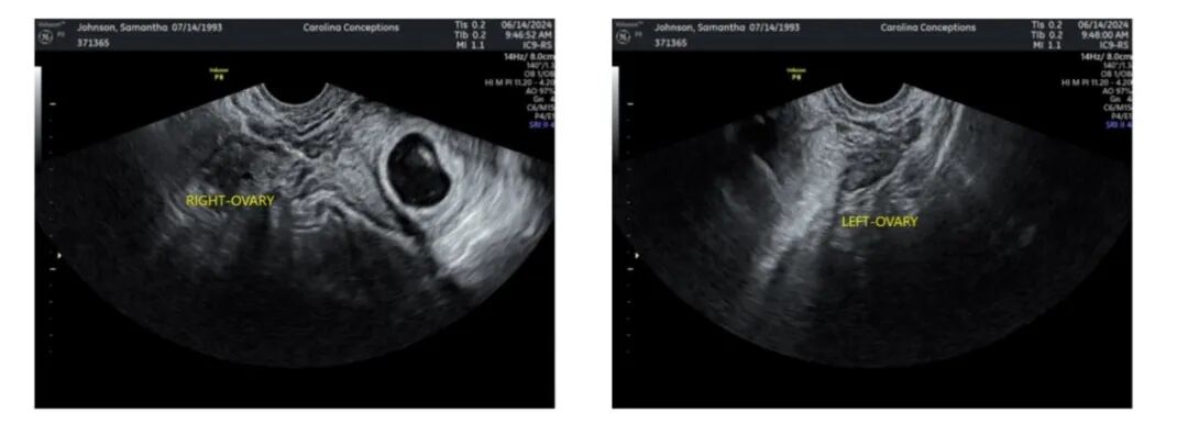
爱妈S在首次B超检查来了!已能听到宝宝强有力的心跳,尽管宝宝还很小。准父母对此感到无比激动,他们特别期待属龙的宝宝,并已成功匹配了两位代母,另一位爱妈的妊娠也在顺利进行中,满怀期待宝宝们继续健康成长。
我们的个案经理在提供咨询服务时,会充分考虑准父母的个性化需求和偏好,例如为宝宝选择特定的属相。对于需要捐卵者或捐精者帮助的准父母,我们还能根据他们对未来宝宝的期望如外貌、特长等提供定制化的生育解决方案,确保每一步符合准父母的希望和需求。

版权归原作者所有。如有侵权请联系我们,我们将及时处理。
打开微信,使用 “扫描QR Code” 即可将网页分享到我的朋友圈。